Здоровье
756
сегодня, 14:37
3
Липчанка съела рыбу и у нее чуть не начался перитонит
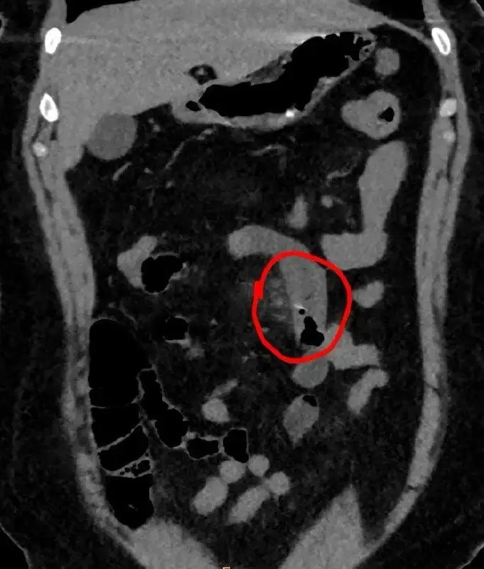
Крошечная кость застряла в кишечнике женщины, ее достали методом лапароскопии.

«На компьютерной томографии рентгенолог сумел увидеть в тонкой кишке инородное тело — крошечную рыбью кость. Хирурги приняли верное решение: лапароскопически, через минимальный разрез над костью инородное тело было аккуратно извлечено, а стенка кишки ушита. Пациентке удалось избежать перфорации, развития перитонита и обширной полостной операции», — рассказала Лилия Самошина.

На пятые сутки после операции женщину выписали, послеоперационный период протекал у неё с минимальными болями.
2
3
0
11
0
Комментарии (3)